Orthodontics
Invisalign®

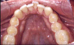
Before

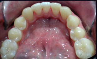
After
FDA approved Invisalign is the “invisible” way to straighten your teeth without wearing conventional metal braces. Invisalign uses a series of clear, removable custom-made aligners to move your teeth. Because you remove your aligners before you eat and drink, there are no food restrictions or problems with flossing or brushing. This technology is also more comfortable, avoiding the mouth abrasions that can be caused by the metal and wires of conventional braces. And this technology is also more convenient, since you are likely to spend less time in the doctor’s office getting adjustments.
Invisalign uses 3-D computer imaging technology to design the complete treatment plan, from the initial teeth positioning to the desired final positioning. This 3-D imaging allows you to preview the final positioning of your teeth before you start treatment. Custom-made aligners are created based on the imaging information. Each of these aligners moves teeth incrementally and is worn for about 2 weeks. Typically, you will visit your dentist once every 6 weeks for “progress reports.” Not every situation can be treated with Invisalign, so call the office to get an evaluation to see if you can be helped with this new technology.
To learn more about Invisalign, click here.